Abstract
Intestinal immunoglobulin A (IgA) is strongly involved in microbiota homeostasis. Since microbiota disruption is a major risk factor of acute graft-versus-host disease (GvHD), we addressed the kinetics of intestinal IgA-positive (IgA+) plasma cells by immunohistology in a series of 430 intestinal biopsies obtained at a median of 1,5 months after allogeneic stem cell transplantation (allo-SCT) from 115 patients (pts) at our center. IgA+ plasma cells were located in the subepithelial lamina propria and suppressed in the presence of histological aGvHD (GvHD Lerner stage 0: 131+/-8 IgA+ plasma cells/mm2; stage 1-2: 108+/-8 IgA+ plasma cells/mm2; stage 3-4: 89+/-16 IgA+ plasma cells/mm2; P=0.004). Overall, pts with IgA+ plasma cells below median had an increased treatment related mortality (P=0.04). Time courses suggested a gradual recovery of IgA+ plasma cells after day 100 in the absence but not in the presence of GvHD. Vice versa IgA+ plasma cells above median early after allo-SCT were predictive of relapse and relapse-related mortality (RRM): pts with low IgA+ cells had a 15% RRM at 2 and at 5 years, while pts with high IgA+ cells had a 31% RRM at 2 years and more than 46% at 5 years; multivariate analysis indicated high IgA+ plasma cells in biopsies (hazard ratio =2.7; 95% confidence interval: 1.04-7.00) as independent predictors of RRM, whereas Lerner stage and disease stage themselves did not affect RRM. In contrast, IgA serum levels at the time of biopsy were not predictive for RRM. In summary, our data indicate that IgA+ cells are highly sensitive indicators of alloreaction early after allo-SCT showing association with TRM but also allowing prediction of relapse independently from the presence of overt GvHD.
Introduction
Graft-versus-host disease (GvHD) and graft-versus-leukemia reactions (GvL) are major determinants of outcome following allogeneic stem cell transplantation (allo-SCT) and show a broad overlap thus frequently preventing clear clinical separation of beneficial GvL and deleterious GvH effects.1 Acute GvHD strongly affects the gastro-intestinal (GI) tract, and microbiota colonizing the GI tract have been identified as major modifiers of both, normal and pathologic immune reactions such as GvHD.2-4 Numerous immune cells including alloreactive T cells, regulatory T cells and innate lymphoid cells are involved in immune regulation of GvHD but also maintenance of immunological homeostasis in the GI tract.1,5 Likewise, intestinal plasma cells producing mainly IgA antibodies play a pivotal role in this context: they are strongly reduced in germ-free mice,6 induced in Peyers patches and secondary lymphoid organs and disseminate to the lamina propria of the whole GI tract. They are the main producers of secretory IgA which plays a central role in the defense against pathogens but also in maintaining co-existence with commensal bacteria, and flow cytometry of immunoglobulin A (IgA)-coated bacteria in the GI lumen revealed coating of a wide range of commensals.7- 9
Intestinal IgA-positive (IgA+) plasma cells have not been in the focus of GvHD pathophysiology and so far, only a few early studies reported suppression of intestinal plasma cells in patients (pts) dying from GvHD.10 More is known about serum IgA levels and B-cell deficiency in general in relation to GvHD: delayed and disturbed B-cell recovery is a hallmark of acute (aGvHD) and chronic GvHD (cGvHD)11 and both, decrease and low IgA levels and B-cell deficiency associate with history of aGvHD and severity of cGvHD.12 Impaired reconstitution of IgA levels is among the most sensitive indicator of the presence of cGvHD,12 and immunoglobulin deficiency can persist up to 5 years and more in pts with cGvHD.13
Based on the potential role of IgA in microbiota regulation and the association of GvHD and microbiota damage we decided to perform a large retrospective analysis of intestinal IgA+ plasma cells in a series of biopsies obtained from pts after allo-SCT: our study revealed a prolonged suppression and deficiency of IgA+ plasma cells in pts with GvHD and revealed a so far unreported association of increased IgA+ plasma cells with a highly increased relapserelated mortality (RRM) suggesting plasma cells as a sensitive target of alloreaction involved in GvL even beyond overt GvHD.
Methods
Patients
Patient characteristics are given in Table 1 and represent a typical adult allo-SCT population. All pts gave informed consent to use urine and serum samples as well as biopsy sections for additional analysis including IgA serum titers and IgA staining of biopsies. The study was approved by the local Ethical Review Board of the University of Regensburg (approval number 09/059).
Biopsies
A total of 430 biopsies from 128 pts were analyzed. Thirty-six had two biopsies, 61 pts had three and more biopsies, from different sites of the GI tract and at different time points. Thirty-four biopsies from 13 pts were obtained prior to allo-SCT to rule out other GI diseases and served as pretransplant controls. The median time to biopsies was 1.5 months after allo-SCT (range, 0.4-67 months), 85% of biopsies were obtained within a time period of less than 6 months after transplantation.
In order to avoid any bias by multiple biopsies in pts with more severe courses, we defined one most relevant (=master) biopsy per pt for survival and outcome analysis: in pts with only one biopsy this corresponded to the only available one. For pts with multiple biopsy, the biopsy obtained at onset of GvHD was selected, and for pts without GvHD, the first biopsy after allo-SCT was used. Selection was independent of biopsy location and the number of allo-SCT. Outcome was always analyzed in relation to the biopsy of the respective transplant.
Table 1.Patient and transplant characteristics.
Immunoglobulin A staining
IgA+ plasma cells in the investigated biopsies were stained by immunohistochemistry (polyclonal rabbit anti-human IgA, code-number A 0262; Dako Denmark A/S, Glostrup, DK), supported by a software-controlled slide stainer (VENTANA BenchMark ULTRA; Ventana Medical Systems Inc., Tucson, USA). The detailed protocol is given in the Online Supplementary Appendix.
Factors influencing immunglobulin A-positive plasma cells
In order to analyze the impact of time after allo-SCT, biopsies were grouped according to the time period of biopsy into biopsies pretransplant, biopsies obtained until day 100 and biopsies obtained later than day 100 after allo-SCT. In order to assess the impact of microbiota, we used urinary indoxylsulfate levels (µmol/mmol creatinine) as previously described14 which were available within 1 week in relation to biopsies for 197 pts. For each biopsy, we recorded the concomitant treatment with corticosteroids >20 mg/day and the use of rituxan.
Immunoglobulin A serum levels
In 108 pts, serum samples had been drawn within +/-7 days of master biopsies thus allowing pairwise assessment of IgA serum levels and IgA+ plasma cells. Serum samples were stored at -80°C until analysis. IgA serum levels were quantified in a DIN ISO 15189 accredited clinical laboratory using an immunoturbidimetric assay (Roche Tina-quant IgA Gen.2) on an automated clinical chemistry analyzer (Roche cobas pro, Grenzach Whylen, Germany, for details see the Online Supplementary Appendix).
Statistical analysis
Clinical data as well as data from histopathological analyses including Lerner stage and IgA+ cells/mm2 were collected in a SPSS database (Version 26, IBM New York, USA). For comparisons of mean IgA+ plasma cells non-parametric Wilcoxon tests were used. For survival analysis using Kaplan Meier, Cox Regression and competing risk assessment, master biopsies were selected.
Results
Morphology and distribution in the gastro-intestinal tract
IgA+ plasma cells could be easily identified by immunoh-istochemistry in the lamina propria and were in close contact to the epithelial lines (Figure 1). When we compared the number of plasma cells in relation to the site of biopsies, there was no significant difference between the upper and the lower GI tract: upper GI tract n=153: 124.5, (standard error [SE] 9.4) IgA+ plasma cells/ mm2 versus lower GI tract n=244: 110.0 (SE 6.4) IgA+ plasma cells/mm2.
Low intestinal immunoglobulin A-positive plasma cell numbers associate with acute graf-versus-host disease and treatment-related mortality
Next, we addressed the impact of aGvHD on the presence of the IgA+ plasma cells: IgA+ plasma cell numbers were highest in 200 pts with Lerner stage 0, and gradually decreased with more severe GvHD (Table 2). For the whole set of biopsies obtained after allo-SCT, GvHD-dependent effects were observed both in the upper and in the lower GI tract (Online Supplementary Table S1).
When we analyzed pts according to organ involvement and Lerner stage, suppression of IgA+ plasma cells was only mild in pts with exclusive skin or liver GvHD but highly pronounced and significant in pts with overt GI involvement.
A total of 32 (27.8%) of pts died from treatment-related complications such as GvHD +/- infections. In line with a stronger suppression of plasma cells in pts with more severe GvHD, patients with IgA+ plasma cells below median after allo-SCT experienced an increased treatment-related mortality (TRM) (log-rank 0.04; Figure 2). In a multi-variate cox regression analysis of TRM, higher Lerner stage (hazard ratio [HR] =3.8; 95% confidence interval [CI]: 1.6-9.6) predicted TRM and higher IgA+ cell numbers were protective (HR=0.34; 95% CI:0.14-0.83), whereas underlying disease, age, stage and donor type did not have significant impact (data not shown). Suppression of IgA+ plasma cells by GvHD is independent of microbiota damage, corticos teroid use or use of B-cell depleting agents at the time of biopsy and from time after allo- SCT When we grouped biopsies according to the time after allo-SCT, 41 biopsies obtained prior to allo-SCT contained 139.0 (SE 23.7) IgA+ plasma cells/mm2 whereas biopsies obtained until day 100 after allo-SCT showed 107.6 (SE 7.2) IgA+ plasma cells (n=244; P=0.08 vs. pretransplant). In biopsies obtained beyond day 100 IgA+ plasma cells started to recover again (n=153; 125.7 [SE 7.9] IgA+ plasma cells; P=0.01 vs. before day 100). GvHD dependent suppression, however, was observed for both time intervals: In 233 biopsies obtained before day 100, IgA+ plasma cells/mm2 were 121.9 (SE 10.4) in biopsies without histological GvHD and 87.8. (SE 9.2) in biopsies with GvHD (P=0.001), in 163 biopsies obtained after day 100, mean IgA+ plasma cells/mm2 were 140.6 (SE 11.0) in the absence of GvHD and 110.9 (SE 11.9) in the presence of GvHD (P=0.03). Analysis of urinary indoxylsulfate (IS) levels (indicating presence of commensal microbiota in the gut), was available for 197 biopsies: IS levels were 97.6 (SE 10.9) µmol/mmol creatinine for 87 biopsies with IgA below median and 87.2 (SE 9.2) µmol/mmol creatinine for 107 biopsies with IgA above median (difference not significant [ns]). As corticosteroid dosage and use of B-cell depleting agents like rituximab might affect IgA+ plasma cells, we also analyzed prednisolone usage above 20 mg/day at the time of biopsy and did not observe significant differences (data not shown). Similarly, mean IgA plasma cells were 88.2+/-18.0 IgA+ plasma cells/mm2 in 14 pts receiving rituximab prior to SCT versus 95.7+/-9.3 IgA+ plasma cells/mm2 in pts not receiving rituximab (ns). After SCT, only four pts received rituximab prior to biopsies for treatment of high EpsteinBarr virus (EBV) serum copy numbers to prevent EBV lymphoma which had no impact on mean IgA plasma cells in the biopsies (104.8+/-58.0 IgA+ plasma cells/mm2 as compared to 93.9+/-8.0 IgA+ plasma cells/mm2 in the remaining pts (ns).
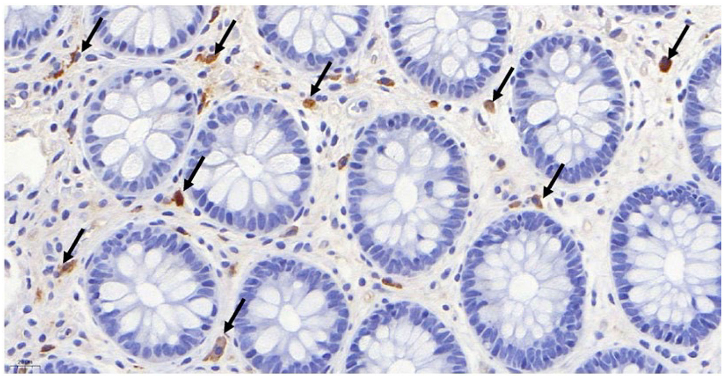
Figure 1.Histopathological example of immunoglobulin A staining. Immunohisto-logical staining of immunoglobulin A-positive plasma cells; positive cells (arrows) were detected in the lamina propria with close association to the epithelial line.
Table 2.Graft-versus-host disease-dependent suppression of immunoglobulin A-positive plasma cells.
Thus, in a multivariate binary logistic regression, only advanced Lerner stage (overall resposnse [OR]: 0.51; 95% CI: 0.26-0.93), but not prednisolone dose, microbiota damage, time interval after allo-SCT, age and site of biopsy were of significant impact (data not shown).
Intestinal immunoglobulin A-positive plasma cells associate with relapse even in the absence of graf-versus-host disease
The presence of high IgA+ plasma cell numbers in the GI tract is on the other side associated with RRM. Whereas only 15% of 57 pts with IgA+ plasma cells below median at the time of biopsy died from relapse in long-term follow-up, 31% of 58 pts with high IgA+ plasma cell content (above median) died at 2 years and 46% at 5 years after allo-SCT (Figure 3; P=0.01). When we included six additional patients with relapse but alive at the end of the observational period and assessed relapse incidence in general, we observed a comparable association: only 11.5% of patients with low IgA plasma cells relapsed in contrast to 41% of patients with high IgA plasma cells (P=0.001 in log-rank).
These associations were predominantly observed in pts without evidence of major GvHD in their biopsies (Lerner 0-1; log-rank P=0.03). In multivariate Cox regression only IgA+ plasma cells, but not Lerner stage, disease stage at the time of transplant or age-predicted RRM, suggesting a prognostic significance of IgA+ plasma cell numbers independently from presence of overt GvHD (Table 3).
In order to rule out an impact of underlying diseases we performed a separate analysis for myeloid versus lymphoid malignancies: in both subgroups IgA+ plasma cells predicted RRM. In myeloid malignancies, RRM at 5 years was 16% versus 49% in pts with low and high IgA+ plasma cell numbers, respectively, whereas in lymphoid malignancies RRM was 0% and 53%, respectively. Both results strongly support a disease-independent observation.
Finally, we performed a competing risk analysis to rule out mutual overlap between GvHD and GvL effects. IgA+ plasma cells were independent predictors of both, TRM (low IgA+ plasma cell numbers) and RRM (high IgA+ plasma cell numbers) (Figure 4).
Immunoglobulin A serum levels show weak correlation with intestinal immuglobulin A-positive plasma cells and only add to prediction of treatment-related mortality
As serum IgA might allow more rapid assessment of prognostic IgA+ plasma cell deficiency, we addressed whether IgA serum levels at the time of master biopsies reflected intestinal IgA+ plasma cell content. There was some correlation between IgA serum levels and the number of IgA+ plasma cells (r=0.332; P=0.000) in 108 available serum/biopsy pairs (Online Supplementary Figure S1). Patients with higher Lerner stages showed a tendency to have lower IgA serum levels, as pts with Lerner 0 (n=48) had 82.0 (standard error of the mean [SEM]=9.3), pts with Lerner 1,2 (n=44) had 84.7 (SEM=13.4) and pts with Lerner 3,4 (n=16) had 48.1 (SEM=7.1) g/L IgA (Lerner 3,4 vs. 0; P=0.03, all other ns).
Figure 2.Cumulative treatment-related mortality and immunoglobulin A-positive plasma cells. Twenty-three of 62 patients (pts) with low plasma cells died from treatment-related mortality contrast to only 11 of 61 pts with high immunoglobulin A-positive (IgA+) plasma cells. Differences were significant (log-rank P=0.015) A total of 115 pts and first biopsies were analyzed, time (in days) from biopsy is given. Cum.NRM: cumulative non-relapse-related mortality.
Figure 3.Cumulative relapse-related mortality. Cumulative relapse-related mortality (Cum.RelapseRM) is significantly increased in (pts) with high plasma cells (log rank P=0.03). Only 6 of 63 pts with immunoglobulin A-positive (IgA+) plasma cells died from relapse but 22 of 62 pts with high IgA+ plasma cells. A total of 115 pts and first biopsies were analyzed. Cum.RelapseRM: Cumulative Relapse related mortality
When we compared IgA+ plasma cells in the GI tract and IgA serum levels (above/below median) in Kaplan Meier analyses regarding TRM and RRM, low serum IgA levels were weakly associated with higher TRM but showed no correlation with RRM as observed for IgA+ plasma cells (data not shown).
Discussion
Our study describes for the first time the association of intestinal IgA+ plasma cells with outcome following allo-SCT in a large series of pts. Although it is well known, that the majority of IgA-producing plasma cells reside in the intestinal tract and contribute substantially to control of microbial inflammation,6,15 only a few studies so far have addressed their changes in the setting of allo-SCT and GvHD. These papers addressed IgA-bearing cells in human autopsies and showed that loss of these cells is part of a general immune cell loss during the course of aGvHD of the intestinal tract.10,16 In the same line, we recently described B cells in the bone marrow and spleen as being the most sensitive indicators of aGvHD and that their loss could be prevented or reversed by treatment with donor-derived regulatory T cells.17 Prolonged secondary IgA deficiency in the serum is a hallmark of impaired systemic immunoreconstitution following allo-SCT and it is aggravated in pts with cGvHD.12,13,19 Although the majority of serum IgA is produced by plasma cells residing in the bone marrow, intestinal plasma cells can also significantly contribute to systemic IgA levels. Thus low serum IgA could indicate damage to plasma cells, both in the marrow and the intestinal tract,18 which is in line with the moderate correlation between serum IgA and intestinal IgA+ plasma cells seen in our study.
Table 3.Cox regression analysis of factors associated with increased relapse-related mortality.
Figure 4.Competing risk analysis. Competing risk analysis for treatment-related mortality (TRM) and relapse-related mortality (RRM). Effects on RRM and TRM are independent (TRM P=0.001; RRM P=0.002).
Our systematic analyses confirmed a clear suppression of IgA+ plasma cells in intestinal aGvHD and a subsequent association of this suppression with an increase in TRM. Suppression was most prominent in the first 100 days after allo-SCT. Thereafter plasma cell numbers started to recover in the absence of aGvHD, whereas a stronger suppression persisted in patients with severe aGvHD throughout the study. Besides time after allo-SCT, we tried to identify other confounding factors suppressing IgA+ plasma cells, but neither microbiota damage at the time of biopsy, as indicated by urinary IS levels, nor concomitant immunosuppression with high-dose corticosteroids or B-cell depleting agents like rituximab nor the site of biopsy affected the strong impact of histological GvHD. Interestingly, suppression of intestinal IgA+ plasma cells was minor if clinical GvHD-involved only organs such as skin and/or liver, suggesting local mechanisms being active in GI-GvHD and damaging plasma cells residing in that organ.
A still unanswered question is the origin of intestinal IgA+ plasma cells at different time points following allo-SCT. Based on immunoglobulin recovery in general and half-life of specific antibodies (like anti-HbS),20 donor plasma cells are starting to take over immunoglobulin production 12 to 18 months after allo-SCT. However, reports on intestinal plasma cells, e.g., after small bowel transplantation, suggest that individual recipient-derived plasma cells may even persist for years.21 Onset of regeneration of plasma cells beyond day 100 may be in line with these kinetics, however, detailed studies on plasma cell chimerism both in patients and in experimental murine models are required in the future. This should also contribute to decipher the underlying mechanism of plasma cell damage. Whereas our study suggests direct elimination of intestinal IgA+ plasma cells by alloreactive T cells, actual and ongoing murine and human studies by our group indicate a more general and broader damage of the B-cell compartment in GvHD with an arrest of B-cell and plasma cell maturation which might indicate damage to the B-cell niches independent from the actual chimerism of B-cell effectors. Whether these mechanisms contribute to the suppression of plasma cells observed in our study needs to be analyzed in future studies.
The differential recovery of IgA+ plasma cells already highlights the high sensitivity of plasma cells to allo-reaction in the setting of GvHD. The unexpected finding of increased plasma cells early after allo-SCT as a sensitive predictor of relapse and RRM, is in line with this sensitivity, as our observations suggest that decreased elimination of plasma cells may reflect an impaired alloreaction against recipient hematopoietic cells, which is active also in the absence of overt clinical GvHD. This GvHD-independent alloreaction is currently thought to be the most broadly active mechanism of GvL effects mediated by a graft-versus-host hematopoiesis reaction.22 Again, detailed analysis of chimerism of plasma cells will help to sharpen this hypothesis.
So far, appropriate broad biomarkers predicting relapse are missing. Antigen-specific T cells have been reported for WT1 antigen-positive leukemia cells,23 and analysis of minimal residual disease where available is another example of specific biomarkers. Direct analysis of the extent of alloreaction is only possible on the level of chimerism,24 thus assessment of intestinal plasma cells if confirmed as a predictor of relapse might be a useful indicator and help to guide preemptive strategies such as donor lymphocyte infusions. As the easily accessible serum IgA levels have not been analyzed in this context so far, we compared the prognostic significance of serum IgA and intestinal IgA+ plasma cells. In spite of some positive correlation, analysis of intestinal plasma cells seemed to be a stronger indicator of alloreaction as compared to assessment of systemic IgA levels. Secretion of IgA, e.g., in the form of fecal IgA, might be an alternative approach to assess intestinal plasma cell activity but it has not yet been addressed in pts after allo-SCT.25
In summary, our study reports a strong association of intestinal IgA+ plasma cells with alloreaction in the setting of GvHD which has impact on both, GvHD and GvL.
Footnotes
- Received September 30, 2023
- Accepted May 25, 2023
Correspondence
Disclosures
EH is a scientific advisory board member of Novartis, Pharmabiome (Zürich), Maat Pharma (Lyon) and Medac; and he has received a research grant from Neovii. DW has received a research grant from Novartis; and he has received honoraria from Takeda, Gilead, Sanofi, Mallinckrodt and Pfizer; he is a member of the board of directors of Behring. All other authors have no conflicts of interest to disclose.
Contributions
LS and KH contributed equally as principal investigators, designed the study and performed immunohistology and data analysis. AM and MEv supervised pathology analyses and contributed to data discussion. SG performed data analysis and contributed to discussion. DW, MW and EM collected clinical data, performed clinical and survival data analysis and contributed to discussion. PL and RB performed serum IgA analysis. PH, ME, DW. HP, AG and WH discussed the data and the manuscript. EH designed the study, supervised data analysis, wrote the manuscript and served as a senior author.
Data-sharing statement
Data will be shared on the Zenodo platform.
Funding
This work was supported by the Wilhelm Sander Stiftung, grant 2017.020.02 (to EH and SG) and partially by the Jose Carreras Leukemia foundation (grant DJCLS 01/GvHD2020). EH, DW, EM, HP, ME, PH and WH are funded by the Deutsche Forschungsgemeinschaft (DFG, German Research Foundation), project number 324392634, SFB TR221 GvH/GvL. EM received a clinician scientist grant from the Else Kroener Fresenius Stiftung.
Acknowledgments
The authors wish to acknowledge the excellent help of Doris Gaag in performing and the assessment of IgA immunostaining and Heike Bremm, Tatjana Schiferstein and Yvonne Schuman for collecting and the assessment of clinical samples.
References
- Ferrara JL, Levine JE, Reddy P, Holler E. Graft-versus-host disease. Lancet. 2009; 373(9674):1550-1561. https://doi.org/10.1016/S0140-6736(09)60237-3PubMedPubMed CentralGoogle Scholar
- Jenq RR, Ubeda C, Taur Y. Regulation of intestinal inflammation by microbiota following allogeneic bone marrow transplantation. J Exp Med. 2012; 209(5):903-911. https://doi.org/10.1084/jem.20112408PubMedPubMed CentralGoogle Scholar
- Holler E, Butzhammer P, Schmid K. Metagenomic analysis of the stool microbiome in patients receiving allogeneic stem cell transplantation: loss of diversity is associated with use of systemic antibiotics and more pronounced in gastrointestinal graft-versus-host disease. Biol Blood Marrow Transplant. 2014; 20(5):640-645. https://doi.org/10.1016/j.bbmt.2014.01.030PubMedPubMed CentralGoogle Scholar
- Peled JU, Gomes AL, Devlin SM. Microbiota as predictor of mortality in allogeneic hematopoietic-cell transplantation. N Engl J Med. 2020; 382(9):822-834. https://doi.org/10.1056/NEJMoa1900623PubMedPubMed CentralGoogle Scholar
- Zheng D, Liwinski T, Elinav E. Interaction between microbiota and immunity in health and disease. Cell Res. 2020; 30(6):492-506. https://doi.org/10.1038/s41422-020-0332-7PubMedPubMed CentralGoogle Scholar
- Pabst O, Slack E. IgA and the intestinal microbiota: the importance of being specific. Mucosal Immunol. 2020; 13(1):12-21. https://doi.org/10.1038/s41385-019-0227-4PubMedPubMed CentralGoogle Scholar
- Bunker JJ, Bendelac A. IgA responses to microbiota. Immunity. 2018; 49(2):211-224. https://doi.org/10.1016/j.immuni.2018.08.011PubMedPubMed CentralGoogle Scholar
- Bunker JJ, Erickson SA, Flynn TM. Natural polyreactive IgA antibodies coat the intestinal microbiota. Science. 2017; 358(6361):eaan6619. https://doi.org/10.1126/science.aan6619PubMedPubMed CentralGoogle Scholar
- Sterlin D, Fadlallah J, Adams O. Human IgA binds a diverse array of commensal bacteria. J Exp Med. 2020; 217(3):e20181635. https://doi.org/10.1084/jem.2018163501152020cPubMedPubMed CentralGoogle Scholar
- Beschorner WE, Yardley JH, Tutschka PJ, Santos GW. Deficiency of intestinal immunity with graft-vs.-host disease in humans. J Infect Dis. 1981; 144(1):38-46. https://doi.org/10.1093/infdis/144.1.38PubMedGoogle Scholar
- McManigle W, Youssef A, Sarantopoulos S. B cells in chronic graft-versus-host disease. Hum Immunol. 2019; 80(6):393-399. https://doi.org/10.1016/j.humimm.2019.03.003PubMedPubMed CentralGoogle Scholar
- Serpenti F, Lorentino F, Marktel S. Immune reconstitution-based score for risk stratification of chronic graft-versus-host disease patients. Front Oncol. 2021; 11:705568. https://doi.org/10.3389/fonc.2021.705568PubMedPubMed CentralGoogle Scholar
- Witherspoon RP, Storb R, Ochs HD. Recovery of antibody production in human allogeneic marrow graft recipients: influence of time posttransplantation, the presence or absence of chronic graft-versus-host disease, and antithymocyte globulin treatment. Blood. 1981; 58(2):360-368. https://doi.org/10.1182/blood.V58.2.360.360Google Scholar
- Weber D, Oefner P, Hiergeist A. Low urinary indoxylsulfate levels early after transplantation reflect a disruoted microbiome and are associated with poor outcome. Blood. 2015; 126(14):1723-1728. https://doi.org/10.1182/blood-2015-04-638858PubMedGoogle Scholar
- Gommerman JL, Rojas OL, Fritz JH. Re-thinking the functions of IgA(+) plasma cells. Gut Microbes. 2014; 5(5):652-662. https://doi.org/10.4161/19490976.2014.969977PubMedPubMed CentralGoogle Scholar
- Cousineau S, Belanger R, Perreault C. Characterization of plasma cell populations at autopsy after human allogeneic bone marrow transplantation. Am J Pathol. 1986; 124(1):74-81. Google Scholar
- Riegel C, Boeld TJ, Doser K, Huber E, Hoffmann P, Edinger M. Efficient treatment of murine acute GvHD by in vitro expanded donor regulatory T cells. Leukemia. 2020; 34(3):895-908. https://doi.org/10.1038/s41375-019-0625-3PubMedPubMed CentralGoogle Scholar
- Wilmore JR, Allman D. Here, there, and anywhere? Arguments for and against the physical plasma cell survival niche. J Immunol. 2017; 199(3):839-845. https://doi.org/10.4049/jimmunol.1700461PubMedPubMed CentralGoogle Scholar
- Storek J, Viganego F, Dawson MA. Factors affecting antibody levels after allogeneic hematopoietic cell transplantation. Blood. 2003; 101(8):3319-3324. https://doi.org/10.1182/blood-2002-05-1376PubMedGoogle Scholar
- Knöll A, Boehm S, Hahn J, Holler E, Jilg W. Long-term surveillance of haematopoietic stem cell recipients with resolved hepatitis B: high risk of viral reactivation even in a recipient with a vaccinated donor. J Viral Hepat. 2007; 14(7):478-483. https://doi.org/10.1111/j.1365-2893.2006.00830.xPubMedGoogle Scholar
- Landsverk OJ, Snir O, Casado RB. Antibody-secreting plasma cells persist for decades in human intestine. J Exp Med. 2017; 214(2):309-317. https://doi.org/10.1084/jem.20161590PubMedPubMed CentralGoogle Scholar
- Blazar BR, Hill GR, Murphy WJ. Dissecting the biology of allogeneic HSCT to enhance the GvT effect whilst minimizing GvHD. Nat Rev Clin Oncol. 2020; 17(8):475-492. https://doi.org/10.1038/s41571-020-0356-4PubMedPubMed CentralGoogle Scholar
- Rezvani K, Yong AS, Savani BN. Graft-versus-leukemia effects associated with detectable Wilms tumor-1 specific T lymphocytes after allogeneic stem-cell transplantation for acute lymphoblastic leukemia. Blood. 2007; 110(6):1924-1932. https://doi.org/10.1182/blood-2007-03-076844PubMedPubMed CentralGoogle Scholar
- Gambacorta V, Parolini R, Xue E. Quantitative PCR-based chimerism in bone marrow or peripheral blood to predict acute myeloid leukemia relapse in high-risk patients: results from the KIM- PB prospective study. Haematologica. 2020; 106(5):1480-1483. https://doi.org/10.3324/haematol.2019.238543PubMedPubMed CentralGoogle Scholar
- Lin R, Chen H, Shu W. Clinical significance of soluble immunoglobulins A and G and their coated bacteria in feces of patients with inflammatory bowel disease. J Transl Med. 2018; 16(1):359. https://doi.org/10.1186/s12967-018-1723-0PubMedPubMed CentralGoogle Scholar
Data Supplements
Figures & Tables
Article Information

This work is licensed under a Creative Commons Attribution-NonCommercial 4.0 International License.